درمان جدید فشار خون ریوی
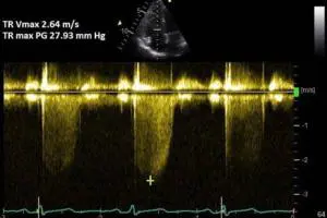
فشار ریه در اکو نشانه چیست؟ برای تشخیص فشار ریه به کدام دکتر مراجعه کنیم؟ درمان بالا بودن فشار ریه چیست؟ درمان جدید فشار خون ریوی در ادامه مطلب. برای اطلاعات بیشتر و مشاوره رایگان در این مورد منتظر تماس سفیر سلامت بهار زندگی باشید.